患者様の負担を最大限抑える
みんなのはっとり歯科式の虫歯治療。
可能な限り
「痛くない」
「削らない」
「神経を抜かない」
「銀歯ではなく白い詰め物【保険】」での
処置も対応しております!
患者様の負担を最大限抑える
みんなのはっとり歯科式の虫歯治療。
可能な限り
「痛くない」
「削らない」
「神経を抜かない」
「銀歯ではなく白い詰め物【保険】」での
処置も対応しております!
虫歯治療で皆さんがまず最初にイメージすること。
それは「痛い……」なのではないでしょうか?
特に「麻酔をする際の痛み」。
技術の進歩もあり、可能な限り痛みを生じさせずに麻酔処置をすることができるようになっています。
当院で実施している「可能な限り痛みを生じさせない無痛治療」の概要をお伝えいたします。
多くの患者様が最初に嫌がるのは、麻酔注射をする時の痛みです。
しかし、その痛みも、事前に注射する箇所にペンレスと呼ばれるシール型の表面麻酔薬を歯肉にしみこませることで注射時の痛みを無くします。
多くの医院では、この処置をせずに麻酔を打つことが多くあるため、虫歯治療=痛いの原因になっています。
体温と麻酔液の温度も痛みの原因となります。
そこで当院ではカートリッジウォーマーと呼ばれる機器で麻酔液を体温と同程度に温めるます。
麻酔液を温めることで、麻酔時の痛みを減少させることができます。
蚊に刺されても痛くないように、針が小さければ小さいほど痛みは少なくなります。
当院では現在発売されている中で最も極細の針(33G)を使い、ソフトに注射することで痛みを抑えます。
急激に麻酔液を注入すると細胞が膨張し痛みの原因となります。
そのため、ゆっくりと時間をかけ麻酔液を注入していくことが大切になります。
そこで当院では注入速度を機械制御する「電動麻酔注射」を導入し、常に一定の速度を保ちゆっくりと注入することで、痛みを最小限に抑える工夫をしています。
また、ケースによっては手動の方がよい場合もありますので、「電動麻酔注射」と「手動」を併用しています。
人間の歯は一度削ってしまえば元に戻ることは二度とありません。
そして、歯は治療すればするほど寿命が短くなります。そのため当院では、可能な限り「削らない」ことをモットーとしており、そのための設備を整え、治療技術を学んでまいりました。
本章ではどのようにして可能な限り「削らない」を実行しているのかをご紹介します。
この装置は初期虫歯の発見に大きな効果を発揮します。
初期段階の虫歯には痛みがなく、かつ、経験豊富なドクターでも判別しにくいことがあります。
そこで活躍するのが「ダイアグノデント」です。
この装置のメリットについてご紹介します。
虫歯治療において最も大切なことは「虫歯の診断」です。
従来は、ドクターによる視診(肉眼での目視)や歯科用顕微鏡(ルーペ)、そしてレントゲンによる診断が主流でした。
しかし、右の虫歯検出率の統計データをご覧頂くと、ダイアグノデントの虫歯検出率が90%と突出して高いことが分かります。
逆に視診による診断は12%と、単純計算でも10回中9回は健康な歯を虫歯と診断していることになります。
レントゲンを利用しても、50%未満。これではいけません。
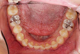
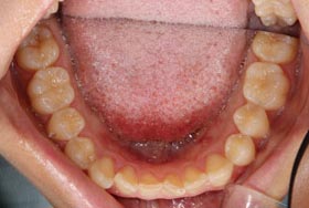
下記は、他院で虫歯と判断された患者様の症例です。

一見すると、奥歯の溝が虫歯になっているように見えます。しかし、ダイアグノデントによる診断では、虫歯治療が必要な数値を示しませんでした。つまり、歯を削る必要がないということです。
仮に、虫歯部分を削る必要があると判断した場合も、ダイアグノデントは非常に有効なツールになります。例えば虫歯を削る量は、従来は歯科医師の裁量で決めていたことがほとんどでした。その弊害として、必要以上に歯を削ってしまう、もしくは虫歯の取り残しにより虫歯が再発するといったことが多く見受けられました。
しかし、ダイアグノデントを利用することにより、虫歯の早期発見だけではなく、虫歯の進行具合や治療後の虫歯の取り残しを何度でも確認することができるので、これまでのような「経験と勘」に頼った治療ではなく、科学的根拠に基づいた治療を実践することができるようになりました。
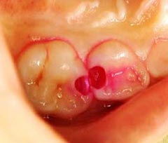
う蝕検知液とは、虫歯の部分のみを赤く染める薬剤です。
虫歯治療を行う上で一番大切なのは、虫歯に感染した部分をしっかり除去することですが、通常は虫歯の硬さを頼りに、軟らかくなった部分を削っていきます。
しかし、この方法では、感染部位を正確に除去することはできません。
そのため、虫歯を確実に取り除くことが出来ないだけでなく、健康な歯まで削ってしまうこともあります。
しかし、このう蝕検知液を使うことで、感染した部分が赤く染まりますので、どこまで虫歯を削ればよいかがわかり、歯を削る量を最小限に抑えることができます。
更に当院では、歯を削る量を少なくする方策として、「機器」だけではなく、「手の感触」で虫歯の状態を確認する工程を踏んでいます。
具体的には「スプーンエキスカベータ―」と呼ばれる道具を利用します。
虫歯に侵された部分は「軟化象牙質」といい、歯が軟らかくなっています。通常この部分は機器(ドリル)を利用し、時間短縮も兼ねて一気に削ります。
しかし当院ではドリルだけで済ますことはしていません。
何故なら、ドリルを利用することで、健康な歯まで削ってしまうことがあるからです。
そのため、ある程度はドリルを利用しますが、最後はスプーンエキスカを利用し、手の感触で虫歯に感染した部分をしっかり見極め感染部分の除去を行います。
通常よりも少し時間はかかってしまいますが、「健康な歯を可能な限り残す」という当院のこだわりとお考えください。
最近ではコンポジットレジンを利用した治療法を選択される患者様が多くなりました。
これは保険適用で処置が可能です。


一般的に虫歯治療の際に利用する「詰め物」は銀歯をイメージされるかと思いますが、当院では銀歯ではなく、白い素材のコンポジットレジンを患者様にお勧めしています。
その理由は下記になります。
当院では「ドックスベストセメント」や「3mix」と呼ばれる歯科材料を利用し、「可能な限り歯を削らず、かつ、神経を残す」という治療法を取り入れています。
これらはメディアでも取り上げられているので、知っている方も多いかと思います。
従来は、虫歯に感染した神経は除去することが一般的でしたが、歯の神経を除去してしまうと、どうしても歯の耐久性がなくなってしまうことに問題がありました。
ドックスベストセメントや3mixを利用することで、歯の神経まで感染した虫歯の場合でも神経を残す方向で治療ができる可能性が高まります。
しかし、注意していただきたいのは、この治療法は夢の治療法ではないということです。
すべてのケースで神経を残せるわけではありませんので、まずはご相談ください。
他院で治療をうけた患者様から「せっかく虫歯治療をしたのにまた再発してしまった」という話をよく耳にします。再発してしまったということは、また治療を繰り返すことになりますので、ますます歯が削られてしまいます。
歯は削れば削るほどもろくなり抜歯へと近づいていきますので、削る範囲を最小限に抑えること。そして虫歯を再発させない治療を行うことが大切となります。
本章では当院が行っている虫歯を再発させないための取り組みをご紹介します。
虫歯は感染症ですので、いくら削ってもそもそもの原因となっている「細菌」へのアプローチがなければすぐに再発してしまいます。
そのため当院では「細菌レベル」での検査をし、まずは原因菌の特定、そしてその菌への効果的なアプローチ方法を探っていきます。
細菌レベルで検査を行うために、当院では「唾液検査」を活用しております。「唾液検査」では、お口の中の「細菌の数」「唾液の緩衝能」「唾液の分泌量」を確認することで、患者様固有の情報(虫歯のリスク・種類・進行状態)を得ることが出来ます。こうして患者様ごとに歯を守るための一歩進んだ診査・診断が可能になるのです。


位相差顕微鏡とは、細菌レベルで虫歯・歯周病を解析するための特殊機器です。
虫歯菌・歯周病菌の活動状況を確認し、悪さをしている菌に合わせた処置を行っていきます。下の画像は顕微鏡下での治療前、治療後の状態です。治療後は細菌が死滅しているのが分かると思います。このように治療後も細菌レベルで状態を確認できるため、治療の質を確認できるのもこの機器の特長です。


詰め物・被せ物には様々な種類があります。



良く知られているのは、「銀歯」と呼ばれているものでこれは保険適用の素材で「安価」であることにメリットがあるのですが、「見た目」「金属アレルギー」「耐久性」「精度」などにおいてデメリットがあります。
かわって保険適用外(自費治療)の素材は、保険適用の素材と比べ「審美性」「体への優しさ」「機能性」「耐久性」「精度」などにおいて様々なメリットがあります。
当院では患者様のお口の状態、お好みなどをお伺いし、もっとも適切な素材をご提案させていただいています。
詳しくは審美歯科または料金表をご覧ください。
当院では、患者様が抱えていらっしゃるお口のお悩みや疑問・不安などにお応えする機会を設けております。
どんなことでも構いませんので、私たちにお話しして頂けたらと思います。
ご興味がある方は下記からお問い合わせください。
| 診療時間 | 月 | 火 | 水 | 木 | 金 | 土 | 日 | 祝 |
|---|---|---|---|---|---|---|---|---|
| 午前:09:00 ~ 12:30 | ○ | ○ | △ | ○ | ○ | ○ | 休 | 休 |
| 午後:14:30 ~ 17:00 | ○ | ○ | △ | ○ | ○ | ○ | 休 | 休 |
※ 日曜・祝日は定休日、水曜日は不定休です。
料金体系は料金表をご参照ください。
